12 年
手机商铺
技术资料/正文
61 人阅读发布时间:2025-08-22 16:54

|
目录号
|
CC-Y1481 |
|
细胞英文(简称) |
SRA01/04(HLE) |
|
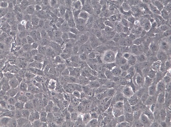
细胞名称 |
SRA01/04(HLE)人晶体上皮细胞永生系 【已通过STR鉴定】 |
|
背景资料 |
收到细胞,请查看瓶子是否有破裂,培养基是否漏出,是否浑浊,如有请尽快和我们联系。如包装完好,取出25cm2培养瓶,75%酒精消毒,拆下封口膜,在显微镜下观察细胞形态是否正常,细胞的贴壁情况以及细胞密度,然后放入37℃,5%CO2细胞培养箱中静置2-3小时,以稳定细胞状态。 |
|
细胞来源 |
ATCC |
|
代次 |
P3 |
|
规格 |
T25 |
|
细胞数 |
1x10^6 cells |
|
价格 |
¥2480 |
|
生物安全级别 |
2 |
|
组织来源 |
晶体上皮 |
|
细胞形态 |
贴壁 |
|
细胞活力 |
95%(Viability by Trypan Blue Exclusion) |
|
细胞检测 |
细胞不含有HIV-1、HBV、HCV、支原体、细菌、酵母和真菌 |
|
培养条件 |
DMEM(高糖) +20% FBS+1%P/S;37℃,5% CO2 |
|
传代方法 |
建议1:2-1:3 两天换液一次 |
|
冻存条件 |
90%FBS+10%DMSO |