12 年
手机商铺
技术资料/正文
53 人阅读发布时间:2025-08-22 16:41

|
目录号
|
CC-Y1774 |
|
细胞英文(简称) |
HCC1954 |
|
细胞名称 |
HCC1954;人乳腺癌细胞【已通过STR鉴定】 |
|
背景资料 |
HCC1954来源于一名 61 岁亚洲女性的原发性初级阶段IIA,3级浸润性导管癌,无淋巴结转移。HCC1954是1995年10月30日开始的低分化细胞系;HCC1954对上皮细胞特异性标记物上皮糖蛋白2和细胞角蛋白19呈阳性,对雌激素受体(er)和孕酮受体(PR)的表达呈阴性。在ELISA检测中Her2/neu过表达。 |
|
细胞来源 |
ATCC |
|
代次 |
P3 |
|
规格 |
冻存(1×10^6/管 发2管) 或 复苏(T25一瓶) |
|
细胞数 |
1x10^6 cells |
|
价格 |
¥3200 |
|
生物安全级别 |
1 |
|
组织来源 |
乳腺癌 |
|
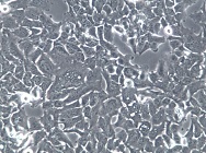
细胞形态 |
上皮细胞样 |
|
细胞活力 |
95%(Viability by Trypan Blue Exclusion) |
|
细胞检测 |
细胞不含有HIV-1、HBV、HCV、支原体、细菌、酵母和真菌 |
|
培养条件 |
RPMI-1640 +10% FBS(货号:C2056-1A)+1%P/S;37℃,5% CO2 |
|
传代方法 |
首次建议1:2-1:3 两天换液一次 |
|
冻存条件 |
无血清细胞冻存液(货号:S002) |